いきましたー

ライジングサンいきましたー Saturday > 忙しい中 学生時代の友人達と ライジングサンいってしまいました。。 以下を見ましたよ。 くるり (キーボードが筋少の三柴さんでした) フラワーカンパニーズ.

Aq6 X Y7f5gkym

いきましたー.  219k Likes, 548 Comments 玖瑠実 (@kurumi_0125_) on Instagram “今夜くらべてみましたに出演しました! 大好きな桐谷美玲さんの素敵な企画に呼んでいただいて、自分でも信じられないくらい嬉しいです!!! 桐谷美玲さん、ありがとうございました! ️”. ライブレポ 12月17日(月)、音事協主催の「ツギクル芸人 定例ライブ」を観にいきましたー。 どうも。 コント作家のリキゾーです。 12月17日(月)、日本音楽事業者協会(「音事協」)主催の『ツギクル芸人 定例ライブ』を観てきました。 以下、内容. 奈良の吉野川にいきました テーマ: 鮎の友釣り 21年 14回目 7匹 師匠が『大きいの釣りに九頭竜に行くぞー』と言っていましたが、今年の九頭竜川はあんまり大きいのが釣れていないらしい。 『九頭竜あんまりやし吉野いくぞー』という.

フォロワー60人いきましたー, a Studio on Scratch.  687k Likes, 484 Comments 芳根京子 (@yoshinekyoko) on Instagram “いつもお世話になってる ヘアメイクのKOTOMIさんから メイク教えてもらいました💄 宝の持ち腐れになってる我が家にあるコスメたちを全て。エッサエッサと持っていきました。笑 あー!楽しかったー!. Instagram post added by saku_15 フォロー100人いきましたー!!ほんとにありがとうございます! いつも私の投稿を見てくれてありがとうございます!😊これからもよろしくお願いします! そしてちゃぴのサヨナラショーのグランドホテルです!私はグランドホテルの中でこの曲がすごく好きなので.

 1000スキいきましたー!!、嬉しいです。 なおき|高校生ブロガー 21年6月11日 14 いつもありがとうございます!. キラーのランクあげたーい! Search for live content Log In. 初めていきましたー!! 平日だからなのか、貸切状態ですいててすごいよかったです。 エアーの遊具 アスレチックも貸切でした。 エアーの遊具が、600円→平日限定の閉園まで遊べて0円でした。 景色が絶景で空気がいい。.

はいきましたーでましたーぜい おんなの駅大城でーす(⌒ ⌒) パインの里 東村より パインの王様ゴールドバレル パインの芯までサクサクうまい スナックパイン これが、また売れるったら売れるんですよねー さぁ、今日もガンガン売れてますぜい(*゚ ゚*) 東村から納品ありがとうございます!.  いきましたー Lastmodified (日) これらのキーワードがハイライトされています:. JagaBee 158 likes 芝浦工業大学ビーチラグビーサークルです。 関東を中心に活動中!!! 海浜幕張、羽田クリエイティブパーク、お台場海浜公園、平塚、葛西臨海公園に出現します!.

 ポルリン🔞 "ほぼエロい絵だけで1000フォロワーいきましたーやったー! " Pawoo ポルリン @porurin0@pawoonet Follow.  5月になりましたー! 投稿日 18年5月4日 18年5月4日 投稿者 なごみすと 春先に家族中インフルエンザに倒れ、その後扁桃腺の腫れがひどくなり、入院してすっかりサボってしまいまし. そしてー フレンチブルドッグのひぽぽんちゃん こう見えてシャイガール ちょっと大きめ135キロ かわいいと気に入って下さり トライアル決定しました 上手くいきますように そしてそして 柴犬の.

お待たせしましたー ️ 本日より、全店営業再開 ️ 久しぶりのビュッフェは気合い入ってます ️ 美味しかった ️(試食しましたから) 美味しいものを食べて免疫力上げていきましょう ️ <真庭あぐりガーデン営業時間> 十字屋商店(おむすび屋):1000~1500 (lo1400).  フォロワー100人いきましたーーー ( 5 Followers ) Projects ( 1 ) Comments ( 17 ) Curators Activity フォロワーさん100人いきましたーーー by tiisaininjin.   59 Likes, 6 Comments nana (@nana06home) on Instagram “パナソニックショールームへいきましたー!インスタグラムでかなり気に入っていた框扉Lクラスキッチン見積もり出したけど、まだ出てないけどざっくり聞いたらへーベルオリジナルキッチンの見積もりよりも100万アップどころじゃ.

About Press Copyright Contact us Creators Advertise Developers Terms Privacy Policy & Safety How YouTube works Test new features Press Copyright Contact us Creators.  涙出ました😭 明日も見れるんだ、嬉しいな🥺 💖 明日も一緒にももクロライブ、盛り上がっていきましょうね! 暑さには気をつけて下さいね、水分摂りましょうね💦💦 #ももいろクローバーz #ももクロ #モモクロマニア19 #モノノフ さん #👼💖.  モデルナでいきます打ちましたー 昨日、予約開始で最速今日打ってきました。 中央ふ頭クルーズセンター、福岡市集団接種会場です。 時~21時の枠で予約して、仕事から帰って夕食とってお風呂入って、 いかにも風呂上がりですと言わんばかりの.

こんちゃ!どうも、いったーです。 今回は「アーセナルvsバーンリー<マッチレビュー>PL第27節」を書いていきたいと思います。 はい、盗まれました。俗に言う“Stolen Ga.  まりえのおうちごはん&節約life☆ 「 お金をかけずにおいしい家庭料理を!^^」 をモットーに 毎日の献立は彩りや栄養を気にしながらも コストを抑えた内容を心がけています。 娘2人は独立し、現在は夫と夫の両親との4人暮らし。. ぼち②準備して元バィト先に遊びにいきましたー てか髪染めに 実はブログでお知らせしていませんでしたが・・・ 卒業式前に何を想ったか、アンナちゃん色にしたい となんとなくでカラーを入れたので.

  無職の夫が出ていきました コミックエッセイ, シングルマザー, シンママ, 離婚 こんにちは、カナコです。 「無職の夫が出ていきました」38回目です。 「無職の夫が出ていきました」プロローグはこちら 前回37話「こんな急に」はこちらから. 今日もいちにち生きました ワクチン接種。 痛い? 痛くない? 一回目のワクチン接種を受けてきました。 予約したのは数週間前。 よく聞くと「基礎疾患がある人は別」とのこと。 基礎疾患? 自分はがん患者ですが、これが当てはまるのかがよく.

卸 龍が如く0 五章までいきましたー 手書きブログ

卸 龍が如く0 五章までいきましたー 手書きブログ

炭々酒肴 ケイハチロウ 沢山のご注文ありがとうございました 限界までいきましたー Facebook

炭々酒肴 ケイハチロウ 沢山のご注文ありがとうございました 限界までいきましたー Facebook

Hikaru Shida 志田 光 בטוויטר 桜の写真を撮りにいきましたー 楽しかった

Hikaru Shida 志田 光 בטוויטר 桜の写真を撮りにいきましたー 楽しかった

いきましたー のギャラリー

韓国いきましたー 0803mizukiajtのブログ

Jsちゃんday 吉祥寺キャラパークいきましたー 毎日パーティーママ

森のパンラボ Guruman Vital グルマンヴィタル

有名 ダイカーハイツのクリスマスイルミネーション ニューヨーク留学ブログ アメリカnyc生活

Pipimu Pimu Blog Entry Fcカードゲーム大会 Final Fantasy Xiv The Lodestone

メルカリ ごっすんリミックス1 邦楽 800 中古や未使用のフリマ

Drunkard Qouuu Blog Entry ドマ式 麻雀 レート00 Final Fantasy Xiv The Lodestone

余暇活動を実施しました ー風鈴の絵付け体験 就労を支援する事業所 はまゆうワークセンター自由ヶ丘 就労訓練向け放課後デイ げんきっこくらぶ じゃんぷ

シノアリス Sinoalice やっと攻撃値物理だけ10万いきましたー しまりす村

牡蠣ブローチ Instagram Posts Photos And Videos Picuki Com

ドラクエタクト デスピサロガチャ引いていきましたーん 絆の戦士

ゲーム 紅蓮祭 いきましたー 趣味と日常 楽しく生きたいね

Wegamers The Best Community For Gamers わーい 厂 W 厂うぇーい

ゆゆ Places 引き取りにいきましたー 早く帰りたい早く聴きたい Places T Co Wsmx7js7jg Twitter

ダイハツ タントカスタムを華麗にカスタム By ゆっきー 10 11 最近ディフューザーの匂いがしなくなってきたのでフレグランスオイル買いにいきましたー っ Cartune

Tmg11さんの投稿した愛車情報 Sportster Xl8 今日は京極と倶知安にいきましたー 天気も良 バイクのカスタム ツーリング情報ならモトクル Motocle

いぬいんちゃんねる げんき 今回はfc東京見にいきましたー 負けてしまったけど頑張ったと思います Powered By Line

ちゃば クロムvipいきましたー T Co Qisnakb5tt Twitter

やきとり居酒屋 寿屋 焼き鳥 おいしいですね 始めていきましたーお酒もい 円山 盤渓周辺

まなまなさんの 21年4月17日 土 グランドオープン 中之条ガーデンズ ぐんまgotoeat加盟店 へのクチコミ ぐんラボ

和歌祭を見にいきましたー3 東 道のきのくに花街道

どろぼうがっこう かこ さとし おはなしのほんの通販 デザイン絵本 木のおもちゃ ギフトfavor

和歌祭を見にいきましたー2 東 道のきのくに花街道

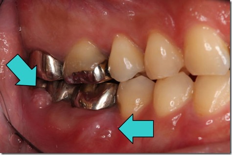
定点カメラで歯科治療の経過をみていきました ーインプラント編ー 日光の歯医者 沼尾デンタルクリニックです 虫歯治療と歯周病専門医と小児歯科

奥井浩之さんのインスタグラム写真 奥井浩之instagram 従兄弟と久々に飲みいきましたー ハーモニカ横丁 従兄弟飲み 一応モザイクかけとこー 竜ちゃん 2枚目のポーズなにこれ 吉祥寺 10月12日 23時00分 O K K U N

バッサリいきましたー ヘアサロンsmr2所属 小野 旭彦のヘアカタログ ミニモ

大阪駅 パイfaceいきましたー タピ パイ フェイス エキマルシェ大阪ショップ Pie Face ツクツク グルメ 投稿型グルメデーターベース

柊さんと太中飲み会いきましたー そして私のおもちちゃんの初お出かけ 仲間が めいじゅのイラスト

Ikeriri Kanda

最新情報 等々力の家デイホーム 福祉 介護 支援 社会福祉法人 奉優会 ほうゆうかい

行きました 得意気 というフガ あれ Youtube

Mizukiti Act フォロワーピッタリ5万人いきましたー 皆さんありがとうございます Facebook

いきましたー うわさのネーミングの丸 丸八寿司 駅前店 ツクツク グルメ 投稿型グルメデーターベース

一瞬フォロワー900人いきましたー ありがとうございます フォロワー

定期講聴の あやすぃ じかん 目標の30人いきましたー ありがとうっありがとうっありがとうっ寝る イノクー Note

台北でちょこちょこ食べ旅 ちょっとしたヒヤリあり旅 台北 台湾 の旅行記 ブログ By ひとかさん フォートラベル

フォロー100いきましたー 完全無料画像検索のプリ画像 Bygmo

Warashi Farmer Blog Entry たぼろっつあ日記34 Final Fantasy Xiv The Lodestone

Apex K D3のマスターがカジュアルいきましたー 17kill3300dama Youtube

円龍幼稚園 福岡県福岡市 どうぶつえんにいきましたー

握力右と左平均で23いきましたー まだまだ修行が足りないようです Peing 質問箱

ユーザ投稿 初めていきましたー ワールド牧場の写真 子供とお出かけ情報 いこーよ

ユーザ投稿 初めていきましたー ワールド牧場の写真 子供とお出かけ情報 いこーよ

内定者キャンプにいきましたー 株式会社ファイブニーズのタイムライン ベンチャー 成長企業からスカウトが届く就活サイトcheercareer チアキャリア

カットいきましたー ちひろのブログ

Nanaさんはinstagramを利用しています パナソニックショールームへいきましたー インスタグラムでかなり気に入っていた框扉 Lクラスキッチン見積もり出したけど まだ出てないけどざっくり聞いたらへーベルオリジナルキッチンの見積もりよりも100万アップどこ

Sinoalic ランク122いきましたー バグアリス とあるゲーム好きによる日常日記ナナイロゲーム

外苑前のいちょう並木にいきましたー ショートヘアのトリセツ

マツダ Rx 8を華麗にカスタム By ぷにっち 18 09 24 地元の荒川ダムに走りにいきましたー友達のドリ練習に Cartune

3年目のポインセチア バッサリいきましたー 元通りなるか ちと不安

Instagram의 地頭江 音々님 お花見でお弁当も作っていきましたー 久しぶりにお弁当作ったらめちゃめちゃ楽しくて張り切りすぎてこの中に入れてないものも作ってて何時間も経ってた 笑 意外としっかり料理して冷食なしで全部1から作った自分のやる気

Ericia Mia Blog Entry 週刊第2号 Final Fantasy Xiv The Lodestone

豆魚雷 はいきましたー決定版きましたー と 過去作を思い出すことさえせずに栄冠を勝ち取りました Pcsによる Marvel Spider Man 版スパイディのスタチュー Mr ネガティブの攻撃をかいくぐるしなやかさ 細身でありながらも筋肉の躍動 特に肩周り

いきましたー うわさのネーミングの丸 丸八寿司 駅前店 ツクツク グルメ 投稿型グルメデーターベース

成田空港にいきましたー 車買取販売ならガリバー環状4号霧が丘店のスタッフのつぶやき G 中古車のガリバー

ありがとうございます っ 1000いきましたー 祝 日本一富士山の絶景を望める静岡の牧場 まかいの牧場へようこそ

庄内緑地公園の品評会いきましたー 凸凹めだか凸凹

そして闇の中へ 刀剣乱舞 備後国審神者の本丸日記

カラオケアドアーズアキパパラ 秋葉原 店にあそびにいきましたー いぇいいぇい 完全なるプリパ Priparaの注目ツイート ツイ速クオリティ Twitter

Milky Pika Blog Entry 暗黒ぴかこカンスト Final Fantasy Xiv The Lodestone

ありがとうございます っ 1000いきましたー 祝 日本一富士山の絶景を望める静岡の牧場 まかいの牧場へようこそ

Yumiko On Instagram メッセージやコメントがあったので ココアケーキのレシピ載せてます 次女はチョコが大好きで 朝から2切れもペロリと食べていきましたー 驚きの糖質 しかも美味しい 是非作ってみて下さいね ココア In Food

Mizukiti Act フォロワーピッタリ5万人いきましたー 皆さんありがとうございます Facebook

立ちのみ いなせや 同僚と軽くいっぱいいきましたー ビールはプレモル2 京都駅中央口周辺

4 35 Mb Utauカバー 霊夢に超本気で 魔理沙は大変なものを盗んでいきましたー を歌わせてみた Download Lagu Mp3 Gratis Mp3 Dragon

秋 オールシーズン ハンド 痛ネイル キャラクター ジョピのネイルデザイン No ネイルブック

バッサリいきましたー Salon De Bonami Official Blog

画像 霊仙山いきましたー 山頂付近のオープンワールド感が凄かった 語彙力 T Co Deo2u9t4nw まとめダネ

アムロいきましたー 年01月16日のイラストのボケ ボケて Bokete

チュウニズム レーティング12までいきました Chat Blog

星野 いきましたー再来 わし ニコニコ動画

納屋町夜市いきましたー Mikan

タイヤ ホイールが沢山出荷されていきましたー

シノアリス Sinoalice やっと攻撃値物理だけ10万いきましたー しまりす村

めぐろのy子より 卓上カレンダー目標いきましたー

Mihirogi Uta 戦力0000いきましたー

オーロラの調べ を観にいきましたー多摩六都科学館 とや英津子 東京都議会議員 練馬区選出 Official Site

昨日の アニデラ のコラボイベントお疲れ様でしたー 普段行ってるアニクラでは中々聞けない曲とかも アニデラの注目ツイート ツイ速クオリティ Twitter

若冲についていきましたー田中泰延 メディアロケット

ライブレポ 12月17日 月 音事協主催の ツギクル芸人 定例ライブ を観にいきましたー Conte Net

Aceいきましたー 闇憑ノblogdeath

ポピー はっちゃん ロボクイ 超合金 買取させていきましたー 岡山市出張買取 わたし雑貨店 わたし雑貨店 岡山の中古品買取 販売

Goldfish6 金魚 ランパート使い V Twitter 7500キルいきましたー という報告 Apexlegends Apex エーペックスレジェンズ エーペックス ランパート

O Xrhsths Makifps Sto Twitter ジブラルタル 15000killいきましたー 20000まであと少しや Apex Apexlegends T Co Keh9mivw Twitter

週連続投稿いきましたー なんか凄く嬉しいですね これも見てくれる読者の皆様のおかげです これからもより良い投稿目指してガンガン頑張りますのでサポートよろしくお願い申し上げます さかもん 外資系ビジネス英語コーチ Note

Kokono12 が フォロワー様300人いきましたー Scratch Studio

いきましたーというフガ 変せよ漢の子

Aq6 X Y7f5gkym

ライブレポ 12月24日 月 祝 K Pro 主催の 若武者 91 を観にいきましたー Conte Net

倉野尾成美 みずいろのゆかた 京都もいきましたー 京都 浴衣 Wacoca Japan People Life Style

Pipimu Pimu Blog Entry Fcカードゲーム大会 Final Fantasy Xiv The Lodestone

オーディオショウにいきましたー 1 Cb1100rのブログ

ゾンデ棒 Instagram Posts Photos And Videos Picuki Com

オーディオショウにいきましたー 番外編 Cb1100rのブログ

ホーム 立山小学校

Uzivatel 投職 Na Twitteru 今月描いた絵を晒そう 7月に描いた漫画のまとめ まどマギベガ親衛隊シリーズメインで描いて いきましたー ベガ親衛隊シチュ好きな人が多いみたいで嬉しいですね 続きも頑張ります

Pupu Oni Blog Entry Fc Four Leaf Clover Ls Ff Friend 新メンバー加入 Final Fantasy Xiv The Lodestone

close